The body is like a mechanism with many functions that work simultaneously.
But, sometimes, the body can give us some signs that something is not working properly.
Don’t ignore these signs, and ask for a professional help.
Here are 7 signs that indicate health problems and that your body needs help.

If your nails and hair are fragile, it can be a sign of Vitamin B deficiency. To make your hair and nails strong again, you just need to drink more milk and eat some nori seaweeds and mushrooms.

If you are over 50, don’t worry, as the appearance of these rings are quite usual.
But, if you are younger, the rings around the irises can be a sign for high cholesterol levels. If this is happening, you will have to consult a doctor.

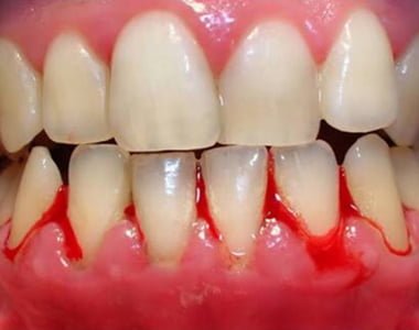
If your gums start to bleed every time you brush your teeth, it means that you are deficient in vitamin C. Just try to consume more citrus fruits, spinach, green and red bell peppers, tomatoes, cabbage, cauliflower and broccoli.
All these foods are great source of vitamin C.

If you suffer from dry skin, it might be a sign of vitamin E deficiency. To return the moisture to your skin, it is important to eat more oils, vegetables, nuts and fish.

If you suddenly crave something sweet, it means you are stressed, exhausted or depressed. Thus, the body is asking for glucose.
If you want to avoid gaining weight, you should have some dark chocolate or honey instead of cakes and sweets.

If you feel like you want to eat ice, then it might mean that you have anemia, or iron deficiency. Instead of eating ice, try to consume more beef, eggs, and molluscs. Nevertheless, it is still better to consult a doctor if you are feeling like eating ice and you lack energy.

If you are experiencing insomnia more often, it might be a sign your body needs magnesium and potassium.
Consume more tomatoes, oranges, bananas and spinach to give your body these essential







