There are two categories of acne blemishes: noninflammatory acne and inflammatory acne.
This classification depends on whether they cause inflammation or not.
Inflammatory acne is more severe than noninflammatory acne and often requires medical consultation for treatment.
Before exploring treatment options, let’s first understand what causes the most common types of acne.

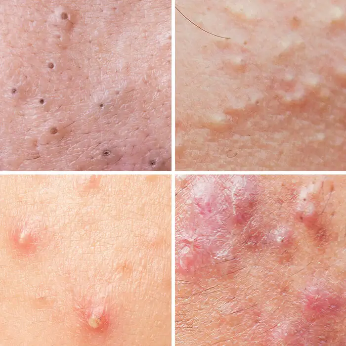
Whiteheads are noninflammatory, flesh- or whitish-colored bumps that typically have a white center surrounded by a red halo.
In some cases, a hair may protrude from the center, or it may appear trapped inside.
Causes: Whiteheads form when dirt, oil (sebum), and dead skin cells clog the pores. These are enclosed within the pore, preventing oxidation.

Unlike whiteheads, blackheads (noninflammatory) are dark or black-colored small spots that appear as raised bumps.
Usually, the skin surrounding a blackhead remains normal, while the center appears darker.
Causes: The dark color of blackheads does not indicate excess dirt but rather the oxidation of clogged pores. They form due to widened, clogged hair follicles.

Papules are inflammatory acne that develops under the skin’s surface.
The surrounding skin is usually red, swollen, and tender. Unlike whiteheads and blackheads, papules are raised, pink, solid, and do not have a visible center or widened pore.
Causes: Papules occur due to bacterial infections in clogged pores, leading to inflammation and irritation.

Pustules, commonly known as pimples, are tender, larger bumps with a circular center.
They contain yellowish or whitish pus over a red, inflamed base. They closely resemble whiteheads but are inflamed.
Causes: Pustules form when clogged pores become infected, leading to an accumulation of pus.

Nodules are inflamed, painful, and hard lumps located deep within the skin.
This severe type of acne can lead to long-term skin complications such as scarring and dark spots.
Causes: Nodules develop when clogged pores cause deep tissue damage beneath the skin’s surface.

Cystic acne occurs when pustules become infected, resulting in large, painful, red or white lumps deep within the skin—even deeper than nodules.
These cysts are soft and filled with pus. Due to their severity, they are more likely to cause permanent scarring.
Causes: Cystic acne forms from infected pustules and is often linked to hormonal imbalances, bacteria, and excessive oil production.
What type of acne do you experience? Have you found any treatments that work for you? Share your thoughts below!
Source: Bright Side







